Η ΑΙ που προβλέπει τον καρκίνο του πνεύμονα

Η ΑΙ που προβλέπει τον καρκίνο του πνεύμονα

Ένα μοντέλο βαθιάς μάθησης μπορεί να επιτύχει εκεί όπου η ανθρώπινη ματιά αποτυγχάνει. Είναι σε θέση να ανιχνεύσει ανεπαίσθητες αλλαγές στις αξονικές απεικονίσεις και να προβλέψει με ακρίβεια, έως και έξι χρόνια νωρίτερα, τον κίνδυνο εμφάνισης καρκίνου του πνεύμονα ενός ή μίας ασθενούς.

Στην αρχαιότητα ως Σίβυλλα χαρακτηριζόταν οποιαδήποτε γυναίκα θεωρούνταν ότι είχε μαντικές ικανότητες. Καταπώς πίστευαν οι αρχαίοι Έλληνες και Ρωμαίοι, οι Σίβυλλες όταν περιέρχονταν σε έκσταση, μπορούσαν να προφητεύσουν μελλοντικά συμβάντα, συνήθως δυσάρεστα ή φοβερά, χάρη στη συνδρομή ενός θεϊκού πνεύματος.

final_lungcancer1

Photo credit: CC0 licence via pexels.com

Ένα καινοτόμο διαγνωστικό τεστ δίνει νέες ελπίδες για την έγκαιρη διάγνωση του καρκίνου του πνεύμονα. Διαβάστε περισσότερα στο άρθρο «Αισθητήρες που εισπνέονται ανιχνεύουν τον καρκίνο του πνεύμονα».

Στη σημερινή εποχή, η Sybil, με όνομα εμπνευσμένο από τις αρχαίες προφήτισσες και τη συνδρομή της τεχνητής νοημοσύνης, αποτελεί ένα ισχυρό νέο εργαλείο προληπτικής ιατρικής και εξατομικευμένης θεραπείας: Δύναται να προβλέψει με ακρίβεια, έως και έξι χρόνια νωρίτερα, τον κίνδυνο εμφάνισης καρκίνου του πνεύμονα ενός ή μίας ασθενούς.

Η πλέον θανατηφόρα μορφή καρκίνου παγκοσμίως

Ο καρκίνος του πνεύμονα αποτελεί την πλέον θανατηφόρα μορφή καρκίνου παγκοσμίως, με υψηλά ποσοστά θνησιμότητας τόσο μεταξύ ανδρών όσο και γυναικών. Το κάπνισμα είναι η κύρια αιτία για την ανάπτυξή του, ωστόσο, πλέον τα ποσοστά της νόσου αυξάνονται και μεταξύ των μη καπνιστών.

Η αξονική τομογραφία χαμηλής δόσης ακτινοβολίας (LDCT) αποτελεί σήμερα τον πιο διαδεδομένο τρόπο ελέγχου για καρκίνο του πνεύμονα, με την ελπίδα να εντοπιστεί σε πρώιμο στάδιο, οπότε και μπορεί ακόμη να αφαιρεθεί χειρουργικά. Γι’ αυτό και συνιστάται σε ανθρώπους ηλικίας μεταξύ 50 και 80 ετών που καπνίζουν ή έχουν μακροχρόνιο ιστορικό καπνίσματος. Από την άλλη, οι τρέχουσες διεθνείς οδηγίες δεν προβλέπουν τον σχετικό έλεγχο για άτομα που θεωρούνται χαμηλότερου κινδύνου, όπως εκείνα που δεν έχουν καπνίσει ποτέ.

Ο καρκίνος του πνεύμονα αποτελεί την πλέον θανατηφόρα μορφή καρκίνου παγκοσμίως, με υψηλά ποσοστά θνησιμότητας τόσο μεταξύ ανδρών όσο και γυναικών. Κύρια αιτία για την ανάπτυξή του είναι το κάπνισμα.

final_lungcancer2

Photo credit: CC0 licence via pexels.com

Αν και ο έλεγχος με LDCT έχει αποδειχθεί ότι μειώνει τους θανάτους από καρκίνο του πνεύμονα έως και 24%, μόνο ένα μικρό ποσοστό υποψηφίων υποβάλλεται σε προληπτικό έλεγχο και μάλιστα σε επαναλαμβανόμενη βάση, όπως είναι απαραίτητο. Καθώς λοιπόν τα ποσοστά του εν λόγω καρκίνου αυξάνονται ακόμα και μεταξύ των μη καπνιστών, αναδύεται επιτακτικότερη η ανάγκη για νέες στρατηγικές προσυμπτωματικού ελέγχου σε έναν ευρύτερο πληθυσμό.

Στο πλαίσιο αυτό, μια ερευνητική ομάδα από την Ιατρική Σχολή του Χάρβαρντ και το MIT, ανέπτυξε ένα εργαλείο τεχνητής νοημοσύνης γνωστό ως Sybil, με στόχο να προβλέπει τα «κακά μαντάτα» της νόσου. Σε αντίθεση με τις μέχρι σήμερα προσεγγίσεις προσυμπτωματικού ελέγχου, ως σύγχρονη προφήτισσα, η Sybil απαιτεί μόνο μία αξονική τομογραφία LDCT για την πρόβλεψη του κινδύνου καρκίνου του πνεύμονα που μπορεί να εμφανιστεί από ένα έως έξι έτη μετά τον έλεγχο.

Πρόβλεψη του κινδύνου έως και 6 χρόνια νωρίτερα

Η Sybil είναι ένα μοντέλο βαθιάς μάθησης το οποίο έχει εκπαιδευτεί σε χιλιάδες αξονικές τομογραφίες. Αξιοποιώντας τις εν λόγω γνώσεις, είναι σε θέση να αξιολογήσει μία αξονική τομογραφία LDCT και να εντοπίσει πρώιμα συμπτώματα της νόσου.

Σύμφωνα με την Regina Barzilay, καθηγήτρια του ΜΙΤ και επικεφαλής της ερευνητικής ομάδας, η Sybil μπορεί να πετύχει εκεί όπου η ανθρώπινη ματιά αποτυγχάνει. Είναι σε θέση να ανιχνεύσει ανεπαίσθητες αλλαγές στις αξονικές απεικονίσεις, προβλέποντας την πιθανότητα ο ασθενής να αναπτύξει καρκίνο του πνεύμονα. Κατά κάποιο τρόπο να προβλέψει δηλαδή το μέλλον.

Video credit: MIT Jameel Clinic

Κατά την Regina Barzilay, η ΑΙ μπορεί να προβλέψει τον κίνδυνο καρκίνου του πνεύμονα έως και 6 χρόνια νωρίτερα. Μία άλλη ερευνητική ομάδα επιστράτευσε την ΑΙ εναντίον της καρδιακής ανεπάρκειας. Διαβάστε περισσότερα στο άρθρο «Καρδιακή ανεπάρκεια: Πρόληψη μέσω τεχνητής νοημοσύνης».

Παράλληλα, το εν λόγω μοντέλο βαθιάς μάθησης, αποδίδει μια εξατομικευμένη βαθμολογία προκειμένου να ταξινομήσει τους εξεταζόμενους ως άτομα υψηλού κινδύνου ή όχι. Έτσι βοηθάει τους κλινικούς ιατρούς ώστε να καθορίσουν πότε ένας ασθενής πρέπει να επιστρέψει για επανέλεγχο ή αν μπορεί να αποφύγει περιττές εξετάσεις.

Δεδομένα από 25 νοσοκομεία σε 11 διαφορετικές χώρες

Η αποτελεσματικότητα του μοντέλου έχει ήδη επιβεβαιωθεί με πληθώρα ερευνών όχι μόνο στον αμερικανικό πληθυσμό, αλλά και με περισσότερες από 12.000 απεικονίσεις από το Νοσοκομείο Chang Gung Memorial στην Ταϊβάν, ενώ συνεχώς ενημερώνεται με δεδομένα από 25 νοσοκομεία που έχουν εγκαταστήσει το μοντέλο σε 11 διαφορετικές χώρες. Ο αριθμός αυξάνεται διαρκώς, καθώς μια συμμαχία κορυφαίων επιστημόνων και κλινικών ιατρών δημιούργησαν έναν φορέα για την περαιτέρω διάδοση και υιοθέτηση της Sybil.

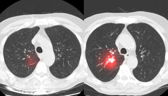
final_lungcancer3

Η Sybil είναι σε θέση να ανιχνεύσει ανεπαίσθητες αλλαγές στις αξονικές απεικονίσεις.

Photo credit: MIT Jameel Clinic

Στόχος του εν λόγω φορέα είναι να αλλάξουν οι παγκόσμιες στρατηγικές προσυμπτωματικού ελέγχου ενσωματώνοντας τα νέα εργαλεία τεχνητής νοημοσύνης. Η ελπίδα που εκφράζουν για το μέλλον; Δια στόματος της Δρ. Lecia Sequist από την Ιατρική Σχολή του Χάρβαρντ είναι η Sybil να εξελιχθεί στο αντίστοιχο της κολονοσκόπησης! «Η ελπίδα μας είναι ότι στο μέλλον, η Sybil θα χρησιμοποιείται ευρέως ώστε να εντοπίζει ποιοι ασθενείς πρέπει να ελέγχονται ετησίως για καρκίνο του πνεύμονα. Να λειτουργεί, για παράδειγμα, σαν την κολονοσκόπηση: Εάν κάνετε μία βασική κολονοσκόπηση γύρω στην ηλικία των 45-50 ετών και δεν παρατηρηθούν πολύποδες, τότε δεν χρειάζεστε άλλη για 10 χρόνια».

Η ΙΣΤΟΡΙΑ ΜΑΣ

Το Pencil On The Moon είναι μια πρωτοβουλία με την υποστήριξη της Generali, η οποία παρακολουθεί στενά όλες τις νέες τάσεις, προκειμένου να συνεχίσει να εξελίσσεται και να προσφέρει υψηλού επιπέδου υπηρεσίες.

Οι πιο προηγμένες επιστημονικές έρευνες, οι πιο εξελιγμένες τεχνολογίες αλλά και οι πιο καινοτόμες εφευρέσεις εξετάζονται προσεκτικά υπό το πρίσμα της εφαρμογής τους στα πεδία της καθημερινότητας με βασική αρχή ότι ο άνθρωπος είναι πάντα πάνω από την τεχνολογία.

Αυτή είναι η πηγή από την οποία αντλούμε μελάνι για τις πένες αυτού του blog με έναν κοινό στόχο:

Να γνωρίσουμε, κατανοήσουμε και στο τέλος να αξιοποιήσουμε τις νέες τεχνολογίες προς όφελος του ανθρώπου.

Η Generali στηρίζει έμπρακτα αυτή την πρωτοβουλία πιστή στη δέσμευσή της:

«Να στηρίζει τους ανθρώπους για να δημιουργούν ένα ασφαλέστερο μέλλον για τις ζωές και τα όνειρά τους»

…Αλλά και ανοιχτή στη σκέψη ότι πολλές φορές αρκεί ένα μολύβι για να γράφουμε στο φεγγάρι.